Nachádzate sa tu: Home l Zdravie a genetika RR l Zdravie a genetika RR l Panostitída (juvenilná panostitída)
Panostitída alebo hypertrofická osteodystrofia (HOD) je ochorenie dlhých rúrkovitých kostí, ktoré sa najčastejšie vyskytuje u šteniat veľkých plemien vo veku od štyroch do osemnástich mesiacov, často ho však veterinári diagnostikujú aj u mladších zvierat.
Šteňacia (juvenilná) panostitída vzniká spontánne. Príčinami vzniku tohto ochorenia je rýchly rast, bakteriálna a vírusová osteomyelitída, metastázy z hnisavého ložiska, dedičné predispozície, prechodné cievne abnormality, alergie, metabolické poruchy, autoimunitná reakcia po vírusových infekciách, hyperestrogenizmus i stres.
Príznaky
Postihnuté zvieratá vykazujú náhle vzniknuté mierne až silné krívanie, ktoré si niekedy majiteľ omylom spojuje s traumatom (skok, náhly pohyb) . Krívanie môže byť nepretržité alebo občasné a postihuje jednu alebo viac končatín. Typickým nálezom pri diagnóze je výrazná bolestivosť dlhých kostí na ohmat, a to nielen na končatine, na ktorú pes kríva, ale tiež na končatine na druhej strane. Panostitída sa väčšinou prejaví najskôr na hrudných končatinách. Najčastejšie postihuje ramennú kosť, ale tiež lakťovú, vretennú, stehennú a holennú kosť. Ochorenie obvykle z jedného miesta zmizne a objaví sa na druhom mieste. Tento cyklus prebieha v 2 - 3 týždňových intervaloch s krátkymi prestávkami medzi epizódami. Zo skúseností veterinárov sa ochorenie opakuje väčšinou u psov, ktoré veľmi rýchlo vyrástli, alebo u psov, ktoré boli kŕmené nekvalitným krmivom, nevyváženou potravou, prípadne krmivom, ktoré nie je určené pre šteňatá. Akonáhle zviera dosiahne vek 18 - 20 mesiacov, klinické príznaky, ako je výrazná bolestivosť kostí, občasná horúčka, letargia či anorexia, väčšinou samy vymiznú.
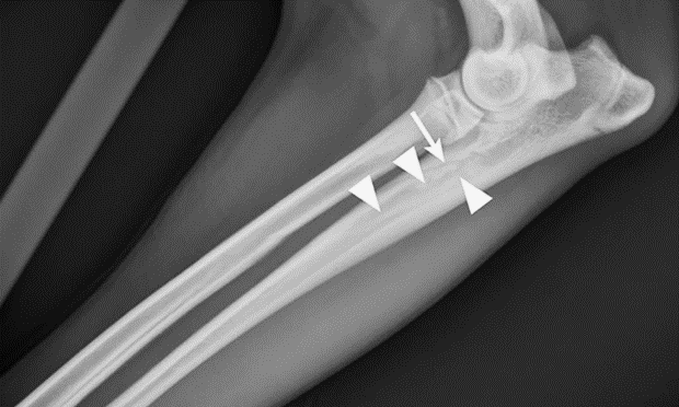
Diagnostika
Určenie ochorenia prebieha na základe príznakov. Diagnózu potvrdzuje röntgen. V začiatku ochorenia sa vyskytuje nepatrné zvýšenie kostnej hustoty v strednej časti postihnutej kosti. V strednej fáze sa vnútro kosti stáva škvrnité, povrch kosti je drsný. V poslednej fáze je síce kosť stále škvrnitá, no pomaly sa vracia späť k normálu. .
Liečba
Terapia je symptomatická s cieľom zmierniť bolesť a ukľudniť zápal. Dôležitý je kľud, podávanie nesteroidných protizápalových liekov, prípadne antibiotík. Ako bolo uvedené už predtým, i pri úspešnej liečbe prichádza v mnohých prípadoch k obnoveniu klinických príznakov, avšak prognóza z hľadiska úplného uzdravenia bez následkov je priaznivá.
Niektorí psi s panostitídou majú zlú chuť do jedla; v týchto prípadoch je dôležité zabezpečiť, aby im bola poskytnutá správne vyvážená a chutná strava. V niektorých prípadoch môžu byť užitočné doplnky ako nutraceutiká, omega mastné kyseliny alebo antioxidanty, ako je vitamín C. .
Prevencia u panostitídy bohužial nie je známa. Avšak na prevenciu vzniku ochorenia je doporučené podávať šteňatám počas celej doby rastu alebo pulzne (3 mesiace podávať a 3 mesiace pauza) podporné prípravky s obsahom chondroprotektívnych látok.
Zdroje:
https://vcahospitals.com/know-your-pet
https://canna-pet.com/
obr.: www.cliniciansbrief.com/article/panosteitis
Spracovala M.Krchňavá – 01/2019